Anomalies dentaires rares – Marhaba Dental Center

Certaines anomalies dentaires sont peu fréquentes mais nécessitent une attentionparticulière. À Agadir, Marhaba Dental Center identifie ces situations pour proposer untraitement adapté et préventif. Exemples courants Pourquoi consulter ? Marhaba Dental Center : diagnostic précis et suivi spécialisé Chaque anomalie est étudiée avec soin, permettant d’offrir des solutions sur mesure pourpréserver santé et esthétique. 07 […]
Piercings buccaux : un danger sous-estimé – Marhaba Dental Center

Les piercings sur la langue, les lèvres ou les joues sont populaires à Agadir, mais ilsprésentent des risques souvent méconnus pour la santé bucco-dentaire.Chez Marhaba Dental Center, nous informons sur les dangers et les précautions nécessairespour protéger votre sourire. Risques principaux Conseils et prévention Éviter les piercings temporaires ou mal positionnés.Contrôles réguliers chez le dentiste.Hygiène […]
Érosion dentaire : des causes insoupçonnées – Marhaba Dental Center

L’érosion dentaire est une usure progressive de l’émail qui peut passer inaperçue à Agadir.Pourtant, elle fragilise les dents, entraîne sensibilité et altère l’esthétique du sourire.Marhaba Dental Center identifie les causes et propose des solutions préventives adaptées. Causes fréquentes Conséquences Solutions Conseils alimentaires et hygiène adaptée.Application de fluor et vernis protecteurs.Reconstitution de l’émail ou facettes si […]
Le lien entre la santé bucco-dentaire et la santé digestive – Marhaba Dental Center

La santé de votre bouche influence directement votre système digestif. À Agadir, nousconstatons que de nombreux troubles digestifs peuvent être liés à une hygiène buccodentaire insuffisante.Marhaba Dental Center vous explique pourquoi prendre soin de vos dents protège aussivotre estomac et votre intestin. Comment la bouche impacte la digestion ? Prévention et solutions Brossage et fil […]
Saignement de la gencive – Marhaba Dental Center

Le saignement gingival est un symptôme fréquent à Agadir, souvent ignoré par les patients.Pourtant, il peut révéler une inflammation, une gingivite ou un début de parodontite.Chez Marhaba Dental Center, nous vous aidons à comprendre les causes et à adopter dessolutions efficaces pour protéger vos gencives. Pourquoi vos gencives saignent-elles ? Les risques si le saignement […]
Comment l’implantologie peut changer votre vie – Marhaba Dental Center

La perte de dents impacte fonction, esthétique et confiance en soi. Les implants dentairesoffrent à Agadir une solution durable pour restaurer le sourire. Pourquoi choisir l’implantologie ? Avantages -Durabilité et stabilité.-Confort similaire aux dents naturelles.-Résultat esthétique harmonieux. Marhaba Dental Center : expertise et technologie Chaque implant est planifié numériquement pour garantir un résultat fonctionnel etesthétique, […]
Résection d’un épulis gingival – Marhaba Dental Center

L’épulis gingival est une excroissance bénigne de la gencive qui peut gêner la mastication oul’esthétique. À Agadir, Marhaba Dental Center propose un traitement chirurgical précis pourretirer ces excroissances. Pourquoi intervenir ? Technique de résection – Chirurgie locale sous anesthésie.– Retrait complet de l’excroissance.– Suivi post-opératoire pour une cicatrisation optimale. Marhaba Dental Center : précision et […]
Soins dentaires sous anesthésie générale : quand le confort et la sécurité passent enpriorité – Marhaba Dental Center

Certaines interventions chez l’enfant ou l’adulte nécessitent une anesthésie générale pourassurer sécurité et confort. À Agadir, Marhaba Dental Center utilise cette approche pour dessoins complexes ou pour des patients anxieux. Pourquoi choisir l’anesthésie générale ? Quand est-elle indiquée ? Marhaba Dental Center : confort et sécurité avant tout Notre équipe médicale qualifiée veille à ce […]
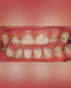
Les colorations chromogènes sur les dents des enfants – Marhaba Dental Center

À Agadir, de nombreux parents remarquent que les dents de leurs enfants présentent destaches colorées après consommation de certains aliments ou boissons. Ces colorations,appelées chromogènes, sont superficielles mais peuvent devenir inesthétiques si ellespersistent.Chez Marhaba Dental Center, nous expliquons leur origine et proposons des solutionsadaptées. Qu’est-ce que les colorations chromogènes ? Coloration due à des pigments […]
Impact de l’édentation sur le visage, la mastication, la posture et le moral – MarhabaDental Center

La perte d’une ou plusieurs dents n’affecte pas seulement le sourire. À Agadir, nombreuxsont ceux qui ignorent que l’édentation influence le visage, la mastication, la posture etmême l’estime de soi.Chez Marhaba Dental Center, nous analysons chaque conséquence pour proposer dessolutions adaptées, esthétiques et fonctionnelles. Pourquoi l’édentation est-elle problématique ? Visage : creusement des joues, amincissement […]
